Services

At Dr. Priti Prakash Dental & Implant Centre, our commitment to compassion and excellence drives us to create a comfortable and welcoming environment where every patient feels valued and cared for. From routine check-ups to advanced treatments, trust us to prioritize your oral health and happiness. Explore our comprehensive range of services tailored to meet your individual needs and elevate your smile to its fullest potential. Whether you require preventive care, restorative treatments, or cosmetic enhancements, our dedicated team is here to provide you with personalized care and exceptional results. Experience the difference at Dr. Priti Prakash Dental & Implant Centre.

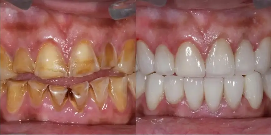
Full Mouth Reconstruction/Rehabilitation

Full mouth reconstruction is a comprehensive dental treatment aimed at restoring the function, health, and aesthetics of the entire mouth. It involves a personalized approach to address issues like missing teeth, damage, or bite problems through various restorative procedures.

Teeth Cleaning (Scaling) & Teeth Whitening (Bleaching)

Teeth Cleaning (Scaling) & Teeth Whitening (Bleaching) are essential for maintaining a bright and healthy smile. Scaling removes plaque and tartar buildup, while bleaching effectively lightens tooth discoloration, enhancing the overall appearance of teeth.

Smile Designing

Smile designing, also known as a smile makeover, focuses on enhancing the appearance of the smile through cosmetic dentistry procedures. This includes treatments like teeth whitening, veneers, bonding, and orthodontics to create a more attractive and harmonious smile.

Dental Implants

Dental Implants offer a permanent solution for replacing missing teeth. Implants consist of titanium posts surgically placed into the jawbone, providing a stable foundation for artificial teeth. They look, feel, and function like natural teeth, restoring confidence and oral health.

Wisdom Tooth Extraction

Wisdom Tooth Extraction is a common procedure to remove problematic third molars that may cause pain, overcrowding, or other issues. Dentists perform this extraction to alleviate discomfort and prevent potential complications.

Braces & Clear Aligners

Orthodontics focuses on correcting misaligned teeth and jaws to improve oral health and aesthetics. Through treatments like braces or clear aligners, orthodontists help patients achieve straighter smiles and better bite alignment.

Crowns and Veneers

Crowns and Veneers are restorative and cosmetic treatments used to enhance the appearance and functionality of teeth. Crowns cover damaged or weakened teeth, while veneers improve the shape, size, and color of teeth, resulting in a natural and attractive smile.

Pediatric Dentistry

Pediatric Dentistry specializes in providing dental care for children. Pediatric dentists ensure the oral health of young patients through preventive measures, treatments, and education tailored to their unique needs and developmental stages.

Root Canals

Root Canal treatment is performed to save a severely infected or damaged tooth from extraction. Dentists remove infected pulp, clean and disinfect the root canal, and seal it to prevent further infection, preserving the tooth's structure and function.

Patient-Centered Dentistry

Discover Our Practice Highlights

Emergency Services

The goal of our clinic is to provide friendly, caring dentistry and the.

Cutting-Edge Technology

Use this space to tell people more about what you do or a featured service.

Comfortable Environment

Use this space to tell people more about what you do or a featured service.

Comprehensive Services

Use this space to tell people more about what you do or a featured service.